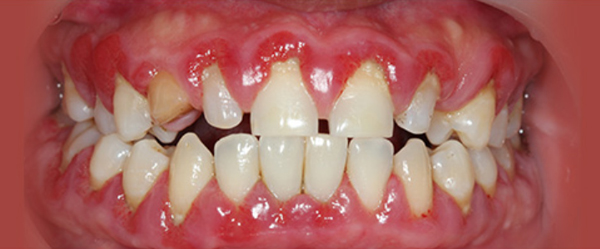
치은염
치은염 잇몸표면 연조직에만 염증이 발생
- 잇몸이 평소보다 빨갛거나 진하다
- 잇몸이 붓거나 두꺼워진다
- 잇몸에서 출혈이 발생한다
궁금하신 사항을 아래 문의 내용에 입력해주시면
보다 빠르게 전화로 상담을 도와드립니다
YONSEI HIVE DENTAL CLINIC
잇몸 안쪽 보이지 않는 공간의
치주질환까지 깨끗하게!
본래의 잇몸라인을
되찾을 수 있는 방법!
상실된 잇몸과 치조골을
원래 상태대로!
치주질환은 양치 시 잇몸에서 피가 나는 정도의 치은염 상태에서
더 악화되면 잇몸이 붓고 근질근질하고 이가 시린 상태가 되며
치주염 말기가 되면 이가 흔들리고 딱딱한 것을 씹지 못하게 됩니다.
연세하이브치과에서는 질환 진행정도와 개인차를 진단해
그에 맞춘
치주질환 치료를 진행하며, 치은박리소파술은 치주 질환이 중등도 이상
단계이며
치주조직이 광범위하게 퍼져 있을 때 주로 시행합니다.
- 잇몸이 평소보다 빨갛거나 진하다
- 잇몸이 붓거나 두꺼워진다
- 잇몸에서 출혈이 발생한다
- 해당부위에서 냄새가 납니다
- 치아와 잇몸 사이에서 고름이 나온다
- 음식물을 씹을 때 통증이 있고 불편하다
- 치아가 흔들리거나 심한 경우 빠진다
잇몸이식이란 잇몸이 많이 내려간 경우 원래 잇몸라인까지 재생시키는걸 목표로
다른 부위에서 잇몸을 제거하여 잇몸이 소실된 부분에 이식하는 방법니다.
잇몸조직이 풍부한 입천장 부위에서 잇몸조직을 채취하여
잇몸이 소실된 부위에 이식합니다.
이식된 잇몸이 이식부위에 잘 생착되어 재생이 되어야 하기 때문에
매우 섬세한 기술과 풍부한 노하우가 필요합니다.
치주질환 치료 후 치아 뿌리의 면과 인접한 다른 조직의 구성성분을 차단막으로 분리하여
치주인대를 형성하는 세포만 재분포 시켜 재생을 도모하는 술식입니다.
즉, 상실된 잇몸과 치조골 등을 원해 상태로 회복시켜주는 치료법입니다.
치아가 흔들리거나 뽑히지 않고 단단히 박혀 있기 위해서는 잇몸뼈가 튼튼해야 하기 때문에 잇몸뼈 재생에 초점을 맞춰 시술합니다.
| 임플란트 | CT 촬영 | 10만원 | 1회 |
|---|---|---|---|
| 포인트 | 59 -> 49만원 | 1치당 | |
| 오스템 | 79 -> 69만원 | ||
| 네비게이션 | 20만원 추가 | Hole당 | |
| Bone graft (단순) |
30만원 | 1치당 | |
| Bone graft (복잡) |
40~50만원 | ||
| Sinus - Crestal | 70만원 | 부위당 | |
| - Lateral | 100만원 | ||
| Flipper | 10만원 | ||
| pontic (Zir/PFM) |
45/35만원 | 1치당 | |
| abut&cr (타DC fix) |
60만원 | ||
| implant cr.만 | 50만원 | ||
| 충치 치료 (resin/inlay) |
전치부 레진 |
15만원 | 1면 |
| 구치부 레진 (단순) |
8만원 | ||
| 치경부 레진 |
임플시 3만원 / 6만원 | ||
| Diastema 레진 |
20만원 | 1치아 | |
| 테세라 인레이 | 25만원 | ||
| 골드 인레이 | 38만원 | ||
| Crown | Gold | 60만원 | 1치당 |
| PFM (일반/Collarless) |
35/40만원 | ||
| Zir (PFZ전치/구치) |
55/45만원 | ||
| Resin core | 5만원 | ||
| Post resin core | 15만원 | ||
| laminate | 55만원 | 1치당 (부가세포함) |
|
| 심미보철 study imp시 |
10만원 | ||
| Denture | 부분틀니/전체틀니 | 150만원 | 악당 |
| 임시틀니 | 20만원 | 악당 | |
| 임시치아 (와이어) |
10만원 | 기본 | |
| 소아 치료 | SS 크라운 | 10만원 | 1치당 |
| 유치 레진 | 5만원 | ||
| 불소도포 | 3만원 | 전체 | |
| 공간유지장치 (BLSM/TPA) |
30/50만원 | ||
| 기타치료 | 이갈이장치 | 50만원 | |
| 비보험스켈링 | 5만원 | ||
| 파노라마 (비보험) |
3만원 | ||
| 신경치료 (비보험) |
30만원 | 1치당 | |
| MTA | 10만원 | 1치당 | |
| wire splint | 10만원 | ||
| 문서비용 | 치료확인서 (타보험사) |
1만원 | 1장 |
| 진단서 | 1만원 | ||
| 수술확인서 | 1만원 | ||
| 치료확인서 (통원) |
|||
| 치료확인서 (코드X) |
3천원 | ||
| 방사선사진 (출력) |
1천원 | ||
| 차트출력 | 1천원 (6장부터~100) |
||
|
보철물A/S 기간 : 레진1년/보철2년/임플10년 S.V (단,임플보증기간 혜택은 정기검진 필수) |
|||