궁금하신 사항을 아래 문의 내용에 입력해주시면
보다 빠르게 전화로 상담을 도와드립니다
YONSEI HIVE DENTAL CLINIC
임플란트는 잇몸뼈 속 수많은 혈관과 신경, 주변 치아까지 고려한 철저한 수술계획과 노하우로 안전하게 진행해야 합니다.
간단한 식립부터 고난이도 수술까지 다양한 케이스의 수술 경험을 보유한 의료진이 직접 진료합니다.

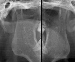
3D CT 촬영으로 치아와 치조골의 상태 및
잇몸뼈의 양과 길이 등의 상태를 정확하게
측정하여 세밀한 진단과 시술 전 발생가능한
문제점을 사전에 발견하고 대비하여
진료의 안정성을 높힙니다.




임플란트는 굉장히 세밀한 치료이기 때문에 정밀한 3D 디지털 기술을 접목하면
의료진의 판단에만 의존하던 임플란트 치료를 더욱 정확하게 예측하고 진단하여 오차를 줄일 수 있습니다.
값비싸고 좋은 임플란트라도 자연치아보다 좋은 것은 없습니다.
연세하이브치과는 환자의 구강상태를 보다 면밀히 확인하여 자연치아를 살리는 방법을 최우선으로 하는 치료를 우선합니다.
마취를 해서 통증을 없앤다고 하여도 마취 주사 자체도 두려워 하시는 분들이 많습니다.
연세하이브치과는 마취 주사 마저도 아프지 않게 해 드리기 위해 3단계 무통 시스템으로 환자분들의 불안과 통증을 해소해 드리고 있습니다.
임플란트 후 관리를 꼼꼼하게 관리한다면 반영구적으로 사용이 가능합니다.
연세하이브치과는 임플란트 치료가 끝난 후에도 철저한 사후관리로 임플란트를 더욱 오래 쓸 수 있도록 도와드리고 있습니다.
치과에서 사용되는 기구들은 환자분의 혈액과 체액이 직접 닿는 만큼
환자와 환자 사이에 발생할 수 있는 2차 감염을 방지하기 위해
위생관리 전담 인력 배치 및 철저한 감염관리 규정을 준수하고 있습니다.
| 임플란트 | CT 촬영 | 10만원 | 1회 |
|---|---|---|---|
| 포인트 | 59 -> 49만원 | 1치당 | |
| 오스템 | 79 -> 69만원 | ||
| 네비게이션 | 20만원 추가 | Hole당 | |
| Bone graft (단순) |
30만원 | 1치당 | |
| Bone graft (복잡) |
40~50만원 | ||
| Sinus - Crestal | 70만원 | 부위당 | |
| - Lateral | 100만원 | ||
| Flipper | 10만원 | ||
| pontic (Zir/PFM) |
45/35만원 | 1치당 | |
| abut&cr (타DC fix) |
60만원 | ||
| implant cr.만 | 50만원 | ||
| 충치 치료 (resin/inlay) |
전치부 레진 |
15만원 | 1면 |
| 구치부 레진 (단순) |
8만원 | ||
| 치경부 레진 |
임플시 3만원 / 6만원 | ||
| Diastema 레진 |
20만원 | 1치아 | |
| 테세라 인레이 | 25만원 | ||
| 골드 인레이 | 38만원 | ||
| Crown | Gold | 60만원 | 1치당 |
| PFM (일반/Collarless) |
35/40만원 | ||
| Zir (PFZ전치/구치) |
55/45만원 | ||
| Resin core | 5만원 | ||
| Post resin core | 15만원 | ||
| laminate | 55만원 | 1치당 (부가세포함) |
|
| 심미보철 study imp시 |
10만원 | ||
| Denture | 부분틀니/전체틀니 | 150만원 | 악당 |
| 임시틀니 | 20만원 | 악당 | |
| 임시치아 (와이어) |
10만원 | 기본 | |
| 소아 치료 | SS 크라운 | 10만원 | 1치당 |
| 유치 레진 | 5만원 | ||
| 불소도포 | 3만원 | 전체 | |
| 공간유지장치 (BLSM/TPA) |
30/50만원 | ||
| 기타치료 | 이갈이장치 | 50만원 | |
| 비보험스켈링 | 5만원 | ||
| 파노라마 (비보험) |
3만원 | ||
| 신경치료 (비보험) |
30만원 | 1치당 | |
| MTA | 10만원 | 1치당 | |
| wire splint | 10만원 | ||
| 문서비용 | 치료확인서 (타보험사) |
1만원 | 1장 |
| 진단서 | 1만원 | ||
| 수술확인서 | 1만원 | ||
| 치료확인서 (통원) |
|||
| 치료확인서 (코드X) |
3천원 | ||
| 방사선사진 (출력) |
1천원 | ||
| 차트출력 | 1천원 (6장부터~100) |
||
|
보철물A/S 기간 : 레진1년/보철2년/임플10년 S.V (단,임플보증기간 혜택은 정기검진 필수) |
|||